Головная боль — одна из самых популярных жалоб на приеме врачей терапевтической и неврологической специальности. Она может быть эпизодической или хронической, слабой или невыносимой, локализованной в разных частях черепа. Иногда боли проходят самостоятельно, после ухода из стрессовой ситуации и прогулки на свежем воздухе, но не всегда: может потребоваться лечение у врача-специалиста, особенно, если речь про мигрени или прочую сосудисто-неврологическую патологию.
Почему болит голова? Причин множество: от банального переутомления до серьёзных патологий. В этой статье разберём триггеры и специфику разновидностей головной боли, процессы ее возникновения и ситуации, когда визит к специалисту нельзя откладывать.
Разновидности головных болей
Их классифицируют идиопатические (первично возникшие без связи с прочими заболеваниями) и вторичные (являющиеся симптомом другой патологии). Отличить одну от другой не всегда удается на начальном этапе, и первично возникшие - скорее, диагноз исключения или специфической симптоматики. Поэтому с врачом-неврологом необходим комплексный подход на фоне симптоматического устранения неприятных ощущений.
- Первичные головные боли

Головная боль напряжения (ГБН)
Самый распространённый вид. Проявляется давящей, монотонной болью, охватывающей всю голову, как будто «обручем». Возникает из-за стресса, длительного напряжения мышц шеи и плеч при сидячей однообразной работе (компьютерная сфера, интеллектуальная сфера, швеи, наладчики, ювелирные и часовые мастера).
Причины и провокаторы данного состояния - длительное напряжение шейного отдела позвоночника, плече-лопаточного двигательного сегмента, неправильная осанка вследствие врожденных и приобретенных проблем, тревожность, депрессия, даже - сон в неправильной позе.
Клинические проявления
- Давящая, сжимающая боль (как «обруч» вокруг головы) умеренной интенсивности, тоесть, не усиливается при физической активности.
- Длительность — от 30 минут до нескольких дней, несколько облегчаясь после сна, но с сохранением усталости и затруднений концентрации.
- Нет тошноты или рвоты, редко — легкая светобоязнь, что помогает неврологам дифференцировать ее от мигрени.
Мигрень
— это неврологическое заболевание, характеризующееся приступами сильной пульсации чаще в одной половине головы.
Характеризуется пульсирующими, чаще односторонними ощущениями, иногда сопровождается подташниванием, избеганием пациентами света и громких звуков. Приступ может длиться от нескольких часов до трёх суток. Почему очень болит голова при мигрени? Основная причина, как отмечают наши врачи — нарушение тонуса сосудов и нейрогенное воспаление.
У 25-30% пациентов перед приступом возникает аура — временные неврологические симптомы, предвестники будущего неприятного самочувствия:
- Зрительные нарушения (мерцающие пятна, вспышки, выпадение полей зрения);
- Онемение лица или конечностей;
- Слабость, головокружение;
- Нарушение речи.
Как правило, пациенты с мигренью уже знают свою типичную ауру перед приступом заболевания, поэтому могут немного подготовиться к эпизоду мигрени: остановиться и присесть, съехать на обочину или парковку при езде за рулем, закончить телефонный разговор или, наоборот, позвонить кому-то из близких с просьбой о помощи и подстраховке. Часто состояние можно предотвратить на этапе симптомов-предвестников, приняв прописанное неврологом лечение.
Точный механизм мигрени до конца не изучен, но ключевую роль играют:
- Наследственность,
- Нарушение баланса серотонина,
- Сосудистые спазмы и последующее расширение сосудов.
Стресс и переутомление, гормональные колебания (у женщин — менструация, овуляция), недосыпание или избыток сна, резкие запахи, яркий свет, громкие звуки и определенные продукты (шоколад, сыр, алкоголь, кофеин) – также триггеры, почему сильно болит голова.
Клиника проявляется пульсирующей болью с усилением при движении, смене позы тела и даже ветре; возможны вазомоторные симптомы , желание находиться в темном тихом помещении. Длительность приступа мигрени без корректной терапии — от 4 до 72 часов, что ухудшает качество жизни пациента еще до суток после улучшения.
и третий тип —
Кластерная (пучковая) головная боль
Боль жгучая, сверлящая, сосредоточена вокруг глаза или виска. Приступы длятся 15–60 минут и повторяются сериями. Редкая, но крайне мучительная форма. Почему болит голова в висках при кластерных болях? Виной тому активация тройничного нерва и сосудистые нарушения. Данные состояния ассоциированы и с вазомоторной симптоматикой - ринорея (насморк) с заложенностью носа, слезотечение и опущение века с пораженной стороны. Данные состояния проявляются серийно ежедневно в течение 1-3 месяцев, часто рецидивируют, а далее – светлый промежуток без обострений от пары месяцев до нескольких лет; отсюда и название “кластерная”.
Характерные отличия:
- Чаще встречается у мужчин от 20 до 40 лет,
- Возникает внезапно, без предвестников, примерно в одно и то же время суток, часто являясь причиной пробуждения,
- Боль очень сильная, жгучая или сверлящая, является причиной тревоги и возбуждения пациента.
Возможными причинами могут быть: нарушение работы гипоталамуса, употребление алкоголя (во время кластерного периода), даже смена сезонов у метеочувствительных людей.
Первичные головные боли не опасны для жизни, но значительно снижают ее качество. Если приступы частые или интенсивные, важно обратиться к неврологу для подбора терапии.
- Вторичные головные боли
Возникновением обязаны другим заболеваниям, являются их основным или фоновым симптомом. Не всегда причина будет локализована в области черепа и головного мозга: они имеют обширное нервное и кровеносное снабжение, также исходящее от магистральных сосудов области шеи и позвоночника.
|
Чей симптом |
Причина |
Проявления |
|
Артериальная гипертензия |
При гипертонии нарушается тонус сосудистой стенки у артерий, которые кровоснабжают, в том числе, область головы и шеи. Стенка уплотняется, просвет сужается – и кислорода поступает меньше (первый механизм боли). Второй – связан с тем, что хуже кровоток и в мышцах шеи – отсюда дискомфорт передается в затылочную зону. |
Давящая, пульсирующая, сжимающая боль на фоне учащенного сердцебиения и высокого давления, красного лица и отечности ног. Может сопровождать гипертонический криз, так и бывает симптомом резкого падения давления после приема таблетки. |
|
Синусит |
Носовые пазухи расположены не только по бокам от носовых костей (гайморовы), также есть и лобный синус, в норме служащий для вентиляции внутренних носовых ходов, согревания вдыхаемого воздуха, формируют голос. |
Напряжение в области лба и носа, заложенность носовых ходов, усиливающиеся при наклоне, повышение температуры при гнойном воспалении с возможным захватом иных придаточных ходов носа. |
|
Остеохондроз |
Механизм цефалгии происходит из-за нарушения кровотока по причине сдавления сосудов шеи и нервных корешков, сужения позвоночного канала, истончения межпозвонковых дисков, их грыжи и протрузий. |
Недомогание усиливается при наклоне головы, смене позы тела, моральном и физическом перенапряжении, занятиях спортом. Остеохондроз редко изолированно поражает один отдел позвоночника; часто у пациентов с данным диагнозом присоединяются боли в пояснице, грудной клетке, суставах. |
|
Инфекции |
При тяжелых состояниях, обморочности, спутанности сознания и лихорадке, сопровождающихся головной болью, необходимо исключить воспалении мозговых оболочек – энцефалит, миелит, менингит. При подозрении на данные состояния наши врачи всегда рекомендуют госпитализацию, стационарное обследование и лечение. |
Температура свыше 38, потеря сознания, неэффективность жаропонижающих средств, светобоязнь, твердость затылочных мышц, спутанность сознания и вялость. Рекомендуем обратиться в инфекционную больницу, особенно если в анамнезе был укус клеща и непонятная сыпь на коже. |
|
Объемные образования головного мозга |
Это могут быть доброкачественные и злокачественные опухоли, аневризмы мозговых сосудов (расширение стенки артерии с образованием «пузыря» большего диаметра и риском разрыва, расслоения), даже паразитарные инвазии - в простонародье, глисты. Головная боль будет обусловлена сдавлением мозга в черепной коробке: его объем увеличен, а размеры полости черепа неизменны. |
Напряжение постоянное, усиливается по утрам, не имеет четкой локализации. Иногда пациенты описывают это как «гудит» голова и задаются вопросом, почему голова болит в лобной части. |
|
Острые мозговые события |
Ишемический или геморрагический инсульт, причиной которым закупорка просвета сосудов мозга либо их надрыв с пропитыванием серого вещества кровью. |
От мучительной ноющей боли до нестерпимого острого приступа с обмороком, изменением мимики и ухудшением подвижности тела и лица. |
|
Травмы |
Удары и ушибы, черепно-мозговые повреждения могут привести к формированию гематом с признаки внутричерепного сдавления и описанной выше симптоматикой. Иногда повреждения неспецифические, тогда изолированно ЧМТ может быть причиной болей. |
Усталость, возможное краткосрочное нарушение сознания после травмирующего агента. Боли фоновые, необходим покой. |

Откуда возникает головная боль?
Соответственно, механизмы развития цервикалгии зависят от всех структур, начиная от кожи, заканчивая нервными ганглиями, и причиной тому:
- Сосудистые нарушения
При мигрени и гипертонии происходит спазм или расширение сосудов, что раздражает болевые рецепторы. Почему начала болеть голова после кофе или алкоголя? Эти вещества влияют на тонус артерий.
- Мышечное напряжение
Длительная работа за компьютером, стрессы приводят к гипертонусу мышц шеи и скальпа. Это провоцирует частые головные боли давящего характера, чувствительность мышц при дотрагивании, привычное вынужденное положение головы из-за затрудненного разгибания - вплоть до остеофитов (костных изменений) плече-лопаточной зоны.
- Невралгии, нейропатические боли
Воспаление или сдавление нервов (например, тройничного) вызывает резкие, стреляющие боли по ходу нервных волокон. Область головы и шеи богато иннервируется:
- надглазничным,
- подблоковым,
- подглазничным,
- нижнечелюстным,
- ушно-височным нервом,
- ветвями лицевого и тройничного нерва.
Их воспаление, вирусное поражение, сдавление от отека будут основными причинами. По наблюдениям наших врачей, в пусковых факторах невралгии увеличивается доля миграции филлеров после некачественных косметологических процедур.
- Ликвородинамические нарушения
Изменение давления спинномозговой жидкости (при гидроцефалии, травмах), наличии объемных черепных образований приводит к распирающей боли.
- Интоксикация
Отравление алкоголем, угарным газом или лекарствами будет причиной, почему долго болит голова из-за токсического воздействия на мозг. Некоторые отравления требуют госпитализации и реанимационных мероприятий, консервативное лечение почти никогда не применяется.
Когда следует обратиться к врачу?
Головная боль редко указывает на угрожающие состояния, но некоторые симптомы требуют срочной диагностики:
- Внезапная, очень интенсивная боль («громоподобная») – может сигнализировать о кровоизлиянии либо ишемическом инсульте; одним из первых симптомов будут несимметричность мимики, опускание угла рта, высунутый язык расположен не по срединной линии, неустойчивость тела в пространстве и т.п.;
- Боль после травмы – риск сотрясения или гематомы.
- Сопутствующая тошнота, рвота, потеря сознания – возможен инсульт или опухоль.
- Нарушение зрения, речи, слабость в конечностях – признаки неврологических патологий.
- Повышение температуры с ригидностью затылочных мышц – подозрение на менингит.
- Почему постоянно болит голова без очевидных причин? Если дискомфорт длится неделями, нужна консультация невролога.
Диагностика и лечение
Для выявления причины, почему болит голова, врач может назначить:
- ЭЭГ – электроэнцефалограмму. Возможно, частично дискомфорт и жалобы могут быть невыявленным эпилептиформным расстройством, патологической мозговой активностью,
- консультацию невролога, психотерапевта, при подозрении на интоксикацию и отравление химическими веществами – прием нарколога и госпитализацию.

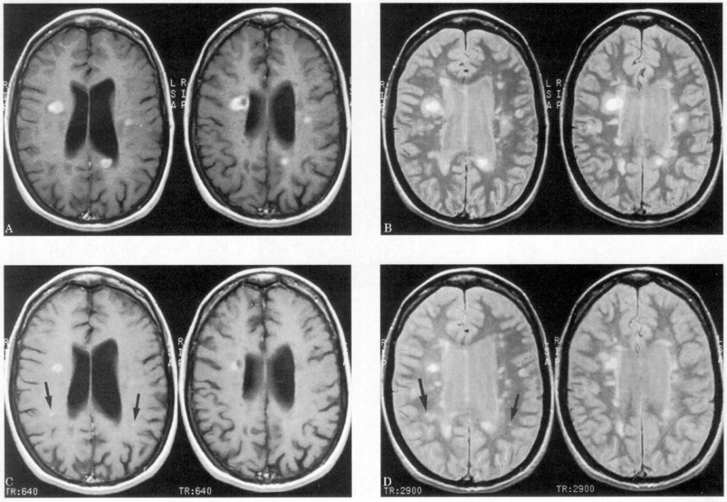
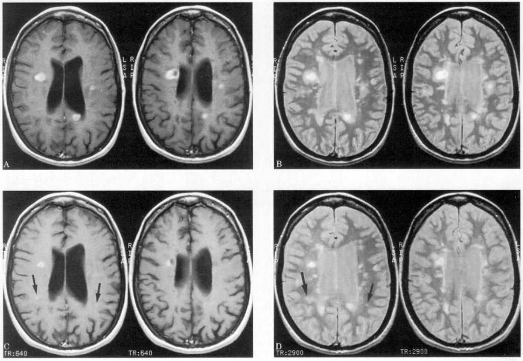
Магнитно-резонансная томография обнаружит истинно мозговые проблемы, возможно дополнение обследования контрастированием, модуляцией программ (сосудистая программа, послойные срезы, цветовые фильтры). КТ настроено на патологии костных структур, остеохондроз, объемную патологию, травмы; имеет лучевую нагрузку, в чем уступает МРТ-поиску.
УЗИ брахиоцефальных артерий – ключевых в кровоснабжении головы и шеи – помогает в диагностике шума в ушах и голове, болей, нарушений сознания. Просвет может закупориваться атеросклеротической бляшкой, тромбом, эмболом (в том числе, микробным), смещением стента после операции ранее.
Анализы крови могут быть рекомендованы в рамках общего обследования.
Лечение зависит от диагноза и назначается только врачом-специалистов. Длительный самостоятельный прием аналгетиков, нестероидных противовоспалительных средств, спазмолитиков может негативно сказаться на здоровье желудочно-кишечного тракта и только маскировать проблему. Заключение
Головная боль — не просто дискомфорт, а сигнал организма. Почему часто болит голова? Ответ кроется в образе жизни, хронических болезнях или скрытых патологиях. Если боли стали привычными, интенсивными или необычными, не откладывайте визит к врачу. Ранняя диагностика спасает от серьезных осложнений.
Берегите здоровье и не игнорируйте тревожные симптомы!
Нажмите на кнопку ниже для ознакомления с ценами на услуги по направлению «Неврология».
Цены на услуги
