Ультразвуковое обследование мочевого пузыря дает возможность врачу визуализировать структуры выводящей системы неинвазивным способом. Работа УЗИ основана на различном отражении невидимой звуковой волны от тканей и образований различной плотности, что показывает строение данного органа с наличием:
- изменений в толщине стенки;
- нарушений контура, отечности, слоистости стенки;
- наличия пристеночных объемных образований, взвеси в моче;
- неполного опорожнения, аномалий развития мочевого пузыря;
- свищей с прорастанием в матку, кишечник;
- опухолей урогенитальной системы и прочее.
Подготовка к УЗИ мочевого пузыря
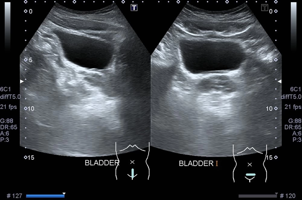
Ультразвук обеспечивает четкое изображение стенок органа, формы, размера и наличия каких-либо отклонений. Его можно выполнить двумя основными вариантами: трансабдоминально (через низ живота) и внутренним доступом (через влагалище у женщин). Трансабдоминальный подход используется чаще и особенно полезен для оценки объема остаточной мочи и наполненного пузыря.

Для чего нужно его наполнять?
Подготовка к УЗИ мочевого пузыря необходима для повышения информативности обследования. При УЗ-осмотре наружным датчиком через надлобковую область позаботьтесь о достаточном наполнении: в растянутом до объема 180-220 мл мочи будут более точно визуализироваться нарушения строения стенки или объемные образования полости. Задержка мочи может быть вызвана различными состояниями, включая увеличенную простату, стриктуры уретры или повреждение нервов, влияющее на функцию мочевого пузыря.
Сколько жидкости нужно выпить перед УЗИ мочевого пузыря?
Не меняйте свой питьевой режим заблаговременно перед записью на обследование. Водная подготовка происходит в день приема врача.
По наблюдениям наших врачей, для достаточного объема органа не мочитесь 3-4 часа при обычном питьевом режиме, или после полного выведения мочи за час до исследования выпейте 1 л негазированной воды.
Что нельзя есть перед УЗИ мочевого пузыря?
Так как исследование проводится через кожу живота, то его информативность зависит от кишечника. Раздраженный, переполненный, вздутый толстый кишечник накладывает акустические тени на изображение мочевыводящей системы, препятствует точной реконструкции полости и послойного строения пузыря.
За 3-4 дня до записи на УЗ-обследование мочевого пузыря откажитесь от продуктов, стимулирующих метеоризм.
|
Можно |
Нельзя |
|
Сбалансированное по белкам, жирам и углеводам питание |
Голодание или переедание |
|
Кисломолочные, не сладкие продукты |
Цельное молоко, сладкие творожки, сырки в глазури |
|
Вода, чай |
Фруктовые и овощные соки, алкоголь, газированные ароматизированные напитки, сладкую воду |
|
Каши на воде |
Бобовые, капуста, цельнозерновой хлеб |
|
Нежирное мясо, птицу, приготовленные щадящими способами термообработки |
Жирная, жареная пища, соусы |
Если имеете хронические заболевания кишечника, постоянное вздутие живота вне зависимости от диеты, накануне приема допустимо использование ветрогонных средств (Эспумизан, укропная вода, Куплатон, Симет), очистительная микроклизма (Микролакс, Эвакью).
Как проводится процедура?
- Подготовка: Пациента просят лечь на спину на смотровую кушетку. На нижнюю часть живота наносится гель на водной основе, чтобы обеспечить хороший контакт между кожей и датчиком.
- Визуализация: Врач УЗИ перемещает датчик по нижней части живота. Устройство посылает звуковые волны в тело, и эти волны отражаются от мочевого пузыря и других структур, создавая изображения на экране.
- Визуализация после мочеиспускания: после получения первоначальных изображений пациента могут попросить опорожнить мочевой пузырь, и будут сделаны дополнительные изображения для измерения оставшейся мочи.
- Завершение: Процедура обычно занимает около 10-15 минут, и после вы получаете на руки заключение.

Трансвагинально мочевой орган исследуется в дополнении к УЗИ малого таза; данное сканирование ориентировочное и менее достоверно, чем абдоминальное положение датчика.
Как подготовиться к УЗИ мочевого пузыря мужчинам?
Так как это – полостной орган, то для рассмотрения его стенок необходимо наличие жидкости внутри. Нужно соблюдать правила подготовки, выпить достаточное количество чистой воды перед процедурой и не мочиться 1-1,5 часа.
Предупредите врача о наличии патологических симптомов задержки мочи, энуреза, ночных мочеиспусканий; установленном увеличении предстательной железы.
Как подготовиться к УЗИ мочевого пузыря женщинам?
Абдоминальное сканирование требует стандартных условий: избегать продуктов, провоцирующих вздутие кишечника, расправить стенки органа хорошим объемом жидкости, соблюдая питьевой режим (800-1000 мл). Точность УЗИ наружным датчиком такая же, как и у мужчин.
Для комфорта женщине рекомендуется не планировать УЗИ урогенитальной системы на период менструаций, предменструального напряжения. Дозированное давление на низ живота в надлобковой области может усиливать болезненность матки и ее сократимость в указанные промежутки цикла.
Предупредите врача о симптомах недержания мочи, пластике стенок влагалища, установленных «сетках» от опущения мочевого пузыря ранее.
УЗИ почек и мочевого пузыря: особые случаи
При беременности ультразвуковое сканирование мочевыводящих путей разрешено на любом сроке. Методика особенно значима, начиная с 18-20 недель беременности, так как усиливается давление увеличенной матки на мочеточники и уретер. Также показаниями для УЗИ мочевого пузыря беременным станут:
- отеки ног, пальцев, стоп;
- патологическая прибавка веса беременность;
- белок, эритроциты, соли в моче;
- симптомы повторного цистита, гестационный пиелонефрит, обострение хронического;
- приступ мочекаменной болезни.
В пожилом возрасте мочевыделительная система испытывает повышенные нагрузки. Прием мочегонных препаратов, возрастные особенности растяжимости тканей, сопутствующие хронические заболевания вносят изменения в подготовку и визуализацию мочевыносящих органов. При УЗИ почек и мочевого пузыря у пожилых наши врачи рекомендуют меньший объем воды перед диагностикой – 500-800 мл за 45-60 минут до визита в клинику; при трудностях с удержанием мочи – выбирайте для записи утреннее время либо не используйте диуретики в течение суток.
Что делать после УЗИ
После ультразвукового сканирования вы одеваетесь, а доктор выдает вам протокол заключения. Заключение не является основным диагнозом, но, в зависимости от него, вам посоветуют обратиться к врачу-специалисту.
Далее вы возвращаетесь к привычному образу жизни, приему лекарственных препаратов и до консультации уролога.

Частые вопросы об УЗИ мочевого пузыря
- Что лучше: пить воду перед исследованием или долго не мочиться?
Используйте способ подготовки, более приемлемый для вас. Если вам не удобно выпить литр воды за короткий промежуток времени, лучше не ходите мочиться 3 часа перед записью на прием. Стоит учитывать, что при долгой задержке мочеиспускания моча станет более концентрированной и будет раздражать рецепторы урогенитальных путей. Поэтому предпочтительным вариантом подготовки будет обильное питье за час до исследования.
- Разрешено ли УЗИ мочевого пузыря на ранних сроках беременности?
УЗ-исследование почечной системы информативно на любом сроке гестации. УЗ-волна отражается от тканей, не накапливается в органах и не оказывает пагубного действия на малыша.
- Какие показания бывают для обследования по мочевому пузырю?
Обратите внимание на изменение цвета и запаха мочи, боли и рези при походе в туалет, спазмы в надлобковой области, трудности с удержанием мочи. Ночные мочеиспускания, энурез, рекомендации уролога также направят вас на сканирование.
- Сколько займет УЗИ мочевыделительной системы? Как часто оно необходимо?
Длительность диагностической процедуры 10-15 минут. Непосредственная подготовка к ней занимает час до приема (обильное питье), заблаговременно диета от вздутия живота – 3-4 дня.
Узи мочевыделительной системы рекомендуется ежегодно для профилактики, по показаниям – в кратчайшее время.
